La OMS clasifica el cáncer de mama según su lugar de origen(ductales o lobulillares), según su carácter (in situ o invasivo) y por su patrón estructural.
Clasificación su grado histológico
El grado histológico de cada neoplasia de mama es importante para determinar el pronóstico dependiendo si conserva o no la morfología característica del estado no patológico.
A mayor grado peor pronóstico.
- Grado I:Bien diferenciado (Apariencia cercana al estado normal)
- Grado II: Moderadamente diferenciado
- Grado III : Mal diferenciado (Masa celular que poco se asemeja al estado normal)
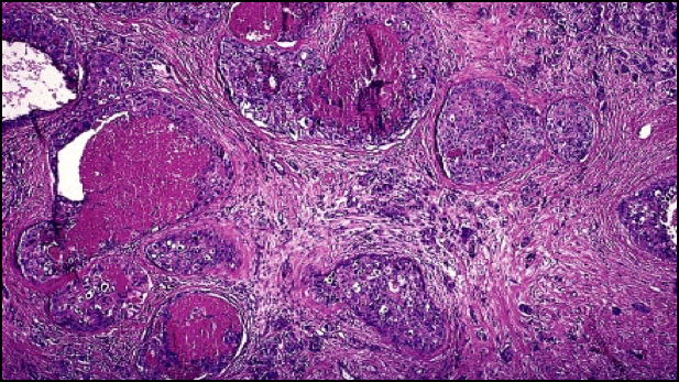
Carcinoma ductal in situ(CDIS):constituye una modalidad de tumor mamario con variedad de aspectos histológicos caracterizada por una proliferación de células epiteliales en el interior de los conductos galactóforos.El CDIS usualmente se presenta como una lesión no palpable que se reconoce por anormalidades mamográficas, o que se descubre incidentalmente en una biopsia mamaria realizada para precisar la naturaleza de una lesión palpable o por cambios radiológicos o ecográficos de naturaleza indefinida.
El CLIS se detecta con frecuencia por accidente cuando se efectúa una biopsia para diagnosticar otro problema de la mama o una masa sospechosa.
Carcinoma ductal invasor:Cuando la reducción de cadherinas y la degradación de la membrana basal permite el paso de las células tumorales al tejido conjuntivo subyacente invadiendolo y sustituyéndolo (desmoplasia) en la que hay una sustitución de la grasa mamaria normal por una masa de celular de consistencia dura.Al microscopio observamos áreas de hemorragia y otras de necrosis.




Está bueno, saludos.
ResponderEliminar